
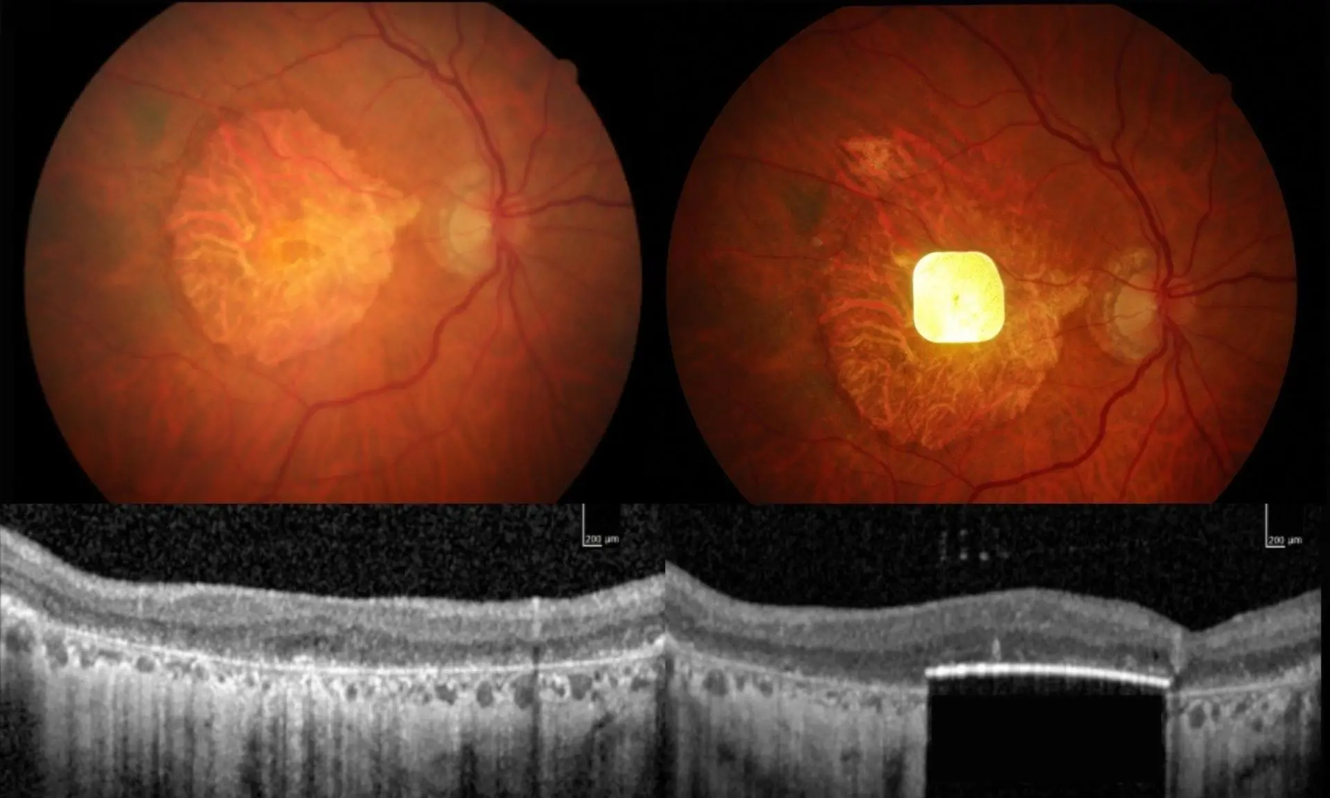
Una nueva prótesis ocular ha logrado devolver la visión a personas con ceguera irreversible a consecuencia de una atrofia geográfica, la última etapa de una forma de degeneración macular asociada a la edad (DMAE), que afecta, aproximadamente, a 5 millones de personas en el mundo.
Un equipo internacional de científicos europeos y estadounidenses llevaba dos décadas trabajando en el desarrollo de este dispositivo, que han probado con éxito en un ensayo con 38 pacientes de 17 centros hospitalarios de 5 países. Sus resultados aparecen recogidos este lunes en la revista New England Journal of Medicine.